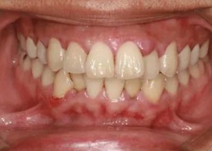
Scaling and Root Planing
Scaling and root planing is a deep cleaning procedure that treats gum disease. Like a prophylaxis (cleaning), it removes plaque and tartar. However, below-gumline cleaning is involved in this procedure. This is a common treatment for periodontitis, which is characterized by inflammation and damage to the soft tissue and bone that support the teeth. Scaling involves the use of a dental instrument to remove the bacterial buildup and target areas on the tooth surface and below the gumline where regular brushing cannot reach. Root planing is when the tooth roots are smoothed to remove rough areas where bacteria can easily accumulate. This allows the gums to heal and reattach to the teeth again.
What to expect after:
- Sensitivity to hot and cold
- Potential soreness and bleeding
- Small Swelling

Periodontal Maintenance
A periodontal maintenance addresses active gum disease and requires specialized techniques to remove plaque and calculus from below the gum line. It goes beyond a regular cleaning by focusing on removing plaque and calculus buildup both above and below the gum line, down to the tooth roots. This helps control inflammation, prevent further bone and tissue damage, and maintain the results of previous periodontal treatment.
